Description:
POTOCKI-SHAFFER SYNDROME
CHROMOSOME DELETION
|
Repository
|
NIGMS Human Genetic Cell Repository
|
| Subcollection |
Chromosome Abnormalities Heritable Diseases dbGaP |
| Quantity |
25 µg |
| Quantitation Method |
Please see our FAQ |
|
Biopsy Source
|
Peripheral vein
|
|
Cell Type
|
B-Lymphocyte
|
|
Tissue Type
|
Blood
|
|
Transformant
|
Epstein-Barr Virus
|
|
Sample Source
|
DNA from LCL
|
|
Relation to Proband
|
proband
|
|
Confirmation
|
Karyotypic analysis after cell line submission to CCR
|
|
ISCN
|
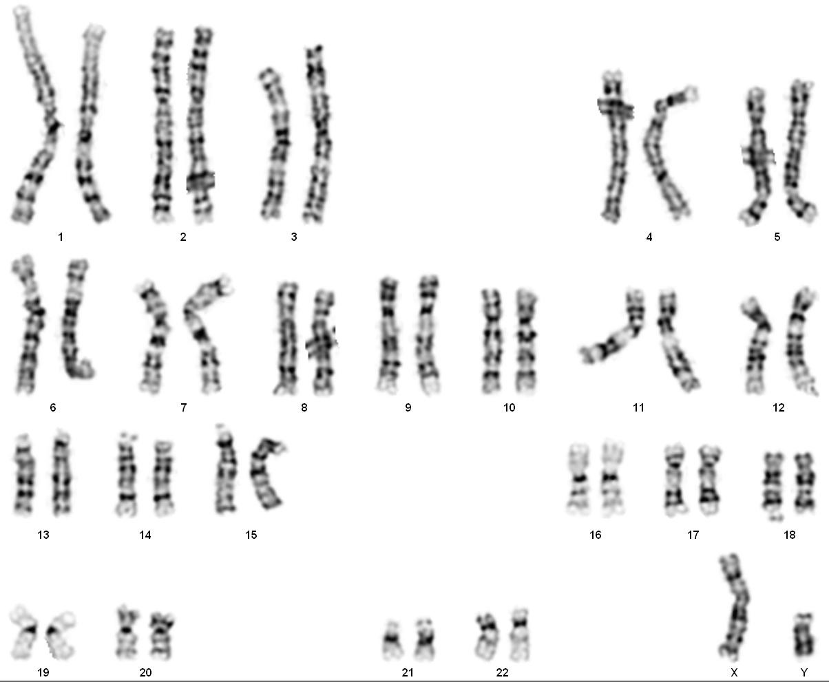
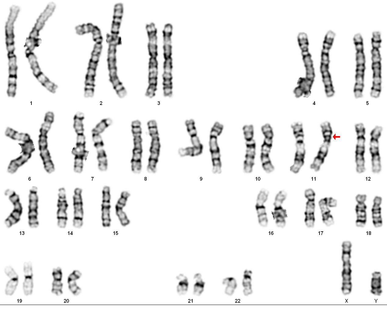
46,XY,del(11)(p11.2p11.2).arr 11p11.2p11.12(43962544-48849783)x1
|
|
Species
|
Homo sapiens
|
|
Common Name
|
Human
|
|
Remarks
|
|
| IDENTIFICATION OF SPECIES OF ORIGIN |
Species of Origin confirmed by LINE assay |
| |
| Cytogenetics |
Chromosome 11: DELETION Aneuploid Segment (-)11p11.2>11p11.2 |
| Demographic Data |
| Relation to Proband |
proband |
| Age at Sampling |
3 YR |
| Sex |
Male |
| |
| Data Elements |
| Clinical Element Type: Potocki-Shaffer Syndrome |
| (Baseline) |
| Inheritance |
| Parental origin of del(11) |
Paternal |
| Skull |
| Parietal foramen |
Yes |
| Brachycephaly |
Yes |
| Turricephaly |
Unknown |
| Craniofacial dysostosis |
Unknown |
| Microcephaly |
Yes |
| Large fontanel |
No |
| Facial |
| Aniridia |
No |
| Sparse lateral eyebrows |
Yes |
| Epicanthal folds |
Yes |
| Prominent nasal bridge |
Yes |
| Prominent nose |
Yes |
| Short philtrum |
Yes |
| Downturned mouth |
Yes |
| Protuberant ears |
Yes |
| Skeletal |
| Short stature |
No |
| Multiple exostoses |
Yes |
| If yes, give age at detection in years |
1.5 |
| Scoliosis |
No |
| Osteochondroma |
No |
| Limbs |
| Cutaneous syndactyly between fingers 2 and 5 |
Unknown |
| Brachydactyly |
Yes |
| Neurological |
| Developmental delay/mental retardation |
Yes |
| Central nervous system malformation |
No |
| Corpus callosum |
Unknown |
| Sensorineural hearing loss |
Unknown |
| Genitourinary |
| Hypospadias |
Yes |
| Cryptorchidism |
No |
| Micropenis |
No |
| Renal malformation |
No |
| Wilms tumor |
No |
| Remarks |
Clinically affected; parietal foramen; brachycephaly; microcephaly; sparse lateral eyebrows; epicanthal folds; prominent nasal bridge; prominent nose; short philtrum; downturned mouth; protuberant ears; multiple exostoses, detected at 18 months old; brachydactyly; developmental delay/mental retardation; hypospadius |
| Tang Z, Berlin DS, Toji L, Toruner GA, Beiswanger C, Kulkarni S, Martin CL, Emanuel BS, Christman M, Gerry NP, A dynamic database of microarray-characterized cell lines with various cytogenetic and genomic backgrounds G3 (Bethesda, Md)3:1143-9 2013 |
| PubMed ID: 23665875 |
| |
| Wakui K, Gregato G, Ballif BC, Glotzbach CD, Bailey KA, Kuo PL, Sue WC, Sheffield LJ, Irons M, Gomez EG, Hecht JT, Potocki L, Shaffer LG, Construction of a natural panel of 11p112 deletions and further delineation of the critical region involved in Potocki-Shaffer syndrome European journal of human genetics : EJHG13:528-40 2005 |
| PubMed ID: 15852040 |
|
|