Description:
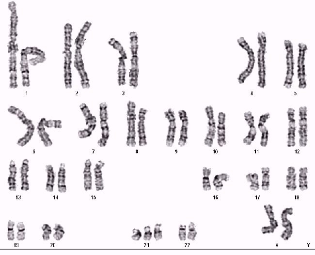
TRISOMY 21
ANEUPLOID CHROMOSOME NUMBER - TRISOMY
|
Repository
|
NIGMS Human Genetic Cell Repository
|
| Subcollection |
Heritable Diseases Chromosome Abnormalities |
| Class |
Other Disorders of Known Biochemistry |
|
Cell Type
|
Fibroblast
|
|
Transformant
|
Untransformed
|
|
Race
|
White
|
|
Relation to Proband
|
proband
|
|
Confirmation
|
Clinical summary/Case history
|
|
ISCN
|
47,XX,+21.arr[hg19]21p11.2q22.3(10,736,858-48,096,945)x3
|
|
Species
|
Homo sapiens
|
|
Common Name
|
Human
|
|
Remarks
|
|
| PDL at Freeze |
6.41 |
| Passage Frozen |
5 |
| |
| IDENTIFICATION OF SPECIES OF ORIGIN |
Species of Origin Confirmed by Nucleoside Phosphorylase, Glucose-6-Phosphate Dehydrogenase, and Lactate Dehydrogenase Isoenzyme Electrophoresis and by Chromosome Analysis |
| |
| TUMOR NECROSIS FACTOR |
Rubin et al (Cancer Res 48:6006-6010,1988) reported that these fibroblasts are resistant to the antiproliferative effect of TNF yet possess receptors for TNF. |
| |
| Cytogenetics |
Chromosome 21: ANEUPLOID Aneuploid Segment (+)21pter>21qter |
|
Chromosome 21: ANEUPLOID Trisomic Segment 21pter>21qter |
| Remarks |
Clinical features of Down syndrome |
| Hwang S, Williams JF, Kneissig M, Lioudyno M, Rivera I, Helguera P, Busciglio J, Storchova Z, King MC, Torres EM, Suppressing Aneuploidy-Associated Phenotypes Improves the Fitness of Trisomy 21 Cells Cell reports29:2473-2488.e5 2019 |
| PubMed ID: 31747614 |
| |
| Andrew M. Gross PhD, Subramanian S. Ajay PhD, Vani Rajan MS, Carolyn Brown CGC, Krista Bluske PhD, Nicole J. Burns MS, Aditi Chawla PhD, Alison J. Coffey PhD, Alka Malhotra PhD, Alicia Scocchia MS CGC, Erin Thorpe MS CGC, Natasa Dzidic MS, Karine Hovanes PhD FACMG, Trilochan Sahoo MD FACMG, Egor Dolzhenko PhD, Bryan Lajoie PhD, Amirah Khouzam MS CGC, Shimul Chowdhury PhD FACMG, John Belmont MD PhD, Eric Roller PhD, Sergii Ivakhno PhD, Stephen Tanner PhD, Julia McEachern PA MHS, Tina Hambuch PhD FACMG, Michael Eberle PhD, R. Tanner Hagelstrom PhD FACMG, David R. Bentley PhD, Denise L. Perry MS CGC & Ryan J. Taft PhD, Copy-number variants in clinical genome sequencing: deployment and interpretation for rare and undiagnosed disease Genetics in Medicine29:2473-2488.e5 2018 |
| PubMed ID: 30293986 |
| |
| Kinde I, Papadopoulos N, Kinzler KW, Vogelstein B, FAST-SeqS: a simple and efficient method for the detection of aneuploidy by massively parallel sequencing PloS one7:e41162 2012 |
| PubMed ID: 22815955 |
| |
| Argellati F, Massone S, d'Abramo C, Marinari UM, Pronzato MA, Domenicotti C, Ricciarelli R, Evidence against the overexpression of APP in Down syndrome IUBMB life58:103-6 2006 |
| PubMed ID: 16608822 |
| |
| Parshad RP, Sanford KK, Price FM, Melnick LK, Nee LE, Schapiro MB, Tarone RE, Robbins JH, Fluorescent light-induced chromatid breaks distinguish Alzheimer disease cells from normal cells in tissue culture. Proc Natl Acad Sci U S A93:5146-50 1996 |
| PubMed ID: 8643543 |
| |
| Querfurth HW, Wijsman EM, St George-Hyslop PH, Selkoe DJ, Beta APP mRNA transcription is increased in cultured fibroblasts from the familial Alzheimer's disease-1 family. Brain Res Mol Brain Res28(2):319-37 1995 |
| PubMed ID: 7723630 |
| |
| Sanford KK, Parshad R, Price FM, Tarone RE, Schapiro MB, X-ray-induced chromatid damage in cells from Down syndrome and Alzheimer disease patients in relation to DNA repair and cancer proneness. Cancer Genet Cytogenet70:25-30 1993 |
| PubMed ID: 8221609 |
| |
| Rubin BY, Anderson SL, Hellermann GR, Richardson NK, Lunn RM, Valinsky JE, The development of antibody to the interferon-induced indoleamine 2,3- dioxygenase and the study of the regulation of its synthesis. J Interferon Res8:691-702 1988 |
| PubMed ID: 2466915 |
| |
| Rubin BY, Anderson SL, Lunn RM, Hellermann GR, Richardson NK, Smith LJ, Production of a monoclonal antibody directed against an interferon- induced 56,000-dalton protein and its use in the study of this protein. J Virol62:1875-80 1988 |
| PubMed ID: 2452894 |
| |
| Rubin BY, Anderson SL, Lunn RM, Richardson NK, Hellermann GR, Smith LJ, Old LJ, Tumor necrosis factor and IFN induce a common set of proteins. J Immunol141:1180-4 1988 |
| PubMed ID: 2456344 |
| |
| Rubin BY, Smith LJ, Hellermann GR, Lunn RM, Richardson NK, Anderson SL, Correlation between the anticellular and DNA fragmenting activities of tumor necrosis factor. Cancer Res48:6006-10 1988 |
| PubMed ID: 3167851 |
| |
| Ulker N, Zhang X, Samuel CE, Mechanism of interferon action. I. Characterization of a 54-kDa protein induced by gamma interferon with properties similar to a cytoskeletal component. J Biol Chem262:16798-803 1987 |
| PubMed ID: 3119591 |
| |
| Sehgal PB, Zilberstein A, Ruggieri RM, May LT, Ferguson-Smith A, Slate DL, Revel M, Ruddle FH, Human chromosome 7 carries the beta 2 interferon gene. Proc Natl Acad Sci U S A83:5219-22 1986 |
| PubMed ID: 3014537 |
| |
| Buchmuller Y, Weiser WY, Remold HG, Partial purification and characterization of a human lymphokine which induces antileishmanial activity in mouse macrophages. Cell Immunol90:242-50 1985 |
| PubMed ID: 3881189 |
| |
| Crosti N, Bajer J, Serra A, Rigo A, Scarpa M, Viglino P, Coordinate expression of MnSOD and CuZnSOD in human fibroblasts. Exp Cell Res160:396-402 1985 |
| PubMed ID: 2931296 |
| |
| Crosti N, Bajer J, Serra A, Rigo A, Scarpa M, Viglino P, Coordinate expression of Mn-containing superoxide dismutase and Cu,Zn- containing superoxide dismutase in human fibroblasts with trisomy 21. J Cell Sci79:95-103 1985 |
| PubMed ID: 2939098 |
| |
| Weiser WY, Remold HG, David JR, Generation of human hybridomas producing migration inhibitory factor (MIF) and of murine hybridomas secreting monoclonal antibodies to human MIF. Cell Immunol90:167-78 1985 |
| PubMed ID: 3881187 |
| |
| Graham GJ, Hall TJ, Cummings MR, Isolation of repetitive DNA sequences from human chromosome 21. Am J Hum Genet36:25-35 1984 |
| PubMed ID: 6695923 |
| |
| Skovby F, Krassikoff N, Francke U, Assignment of the gene for cystathionine beta-synthase to human chromosome 21 in somatic cell hybrids. Hum Genet65:291-4 1984 |
| PubMed ID: 6583157 |
| |
| Weiser WY, Remold HG, Block LH, David JR, Dissociation of human interferon-gamma-like activity from migration- inhibition factor. Cell Immunol88:109-22 1984 |
| PubMed ID: 6434188 |
| |
| Samuel CE, Knutson GS, Mechanism of interferon action: human leukocyte and immune interferons regulate the expression of different genes and induce different antiviral states in human amnion U cells. Virology130:474-84 1983 |
| PubMed ID: 6316641 |
| |
| Sorbi S, Bird ED, Blass JP, Decreased pyruvate dehydrogenase complex activity in Huntington and Alzheimer brain. Ann Neurol13:72-8 1983 |
| PubMed ID: 6219611 |
| |
| Van Keuren, Proteins affected by chromosome 21 and ageing in vitro (from Gene Expression in Normal and Transformed Cells, Plenum Pub Corp; Celis & Bravo, Eds) "Gene Exp in Norm & Trans Cells"1983,pp349:72-8 1983 |
| PubMed ID: 6219611 |
| |
| Williamson BD, Carswell EA, Rubin BY, Prendergast JS, Old LJ, Human tumor necrosis factor produced by human B-cell lines: synergistic cytotoxic interaction with human interferon. Proc Natl Acad Sci U S A80:5397-401 1983 |
| PubMed ID: 6193516 |
| |
| Fitzgerald PA, von Wussow P, Lopez C, Role of interferon in natural kill of HSV-1-infected fibroblasts. J Immunol129:819-23 1982 |
| PubMed ID: 6177785 |
| |
| Samuel CE, Knutson GS, Masters PS, Mechanism of interferon action: ability of cloned human type-alpha interferons to induce protein phosphorylation and inhibit virus replication is specified by the host cell rather than the interferon subspecies. J Interferon Res2:563-74 1982 |
| PubMed ID: 6815285 |
| |
| Sehgal PB, May LT, LaForge KS, Inouye M, Unusually long mRNA species coding for human alpha and beta interferons. Proc Natl Acad Sci U S A79:6932-6 1982 |
| PubMed ID: 6184718 |
| |
| Sorbi S, Blass JP, Spectrophotometric measurement of pyruvate dehydrogenase complex activity in cultured human fibroblasts. J Biochem Biophys Methods5:169-76 1981 |
| PubMed ID: 7299037 |
| Passage Frozen |
5 |
| Split Ratio |
1:4 |
| Temperature |
37 C |
| Percent CO2 |
5% |
| Percent O2 |
AMBIENT |
| Medium |
Eagle's Minimum Essential Medium with Earle's salts and non-essential amino acids with 2mM L-glutamine or equivalent |
| Serum |
15% fetal bovine serum Not inactivated |
| Supplement |
- |
|
|