GM23425
LCL from B-Lymphocyte
Description:
PRADER-WILLI SYNDROME; PWS
DIABETES MELLITUS, JUVENILE-ONSET INSULIN-DEPENDENT; IDDM
|
Repository
|
NIGMS Human Genetic Cell Repository
|
| Subcollection |
Chromosome Abnormalities Heritable Diseases PIGI Consented Sample |
|
Biopsy Source
|
Peripheral vein
|
|
Cell Type
|
B-Lymphocyte
|
|
Tissue Type
|
Blood
|
|
Transformant
|
Epstein-Barr Virus
|
|
Sample Source
|
LCL from B-Lymphocyte
|
|
Race
|
White
|
|
Ethnicity
|
Not Hispanic/Latino
|
|
Ethnicity
|
English/German/Polish
|
|
Country of Origin
|
USA
|
|
Family Member
|
1
|
|
Family History
|
N
|
|
Relation to Proband
|
proband
|
|
Confirmation
|
Karyotypic analysis and Case history
|
|
ISCN
|
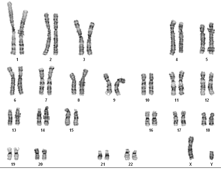
46,XY.arr 15q22.2q25.1(59682805-77291802)x2 hmz
|
|
Species
|
Homo sapiens
|
|
Common Name
|
Human
|
|
Remarks
|
|
| IDENTIFICATION OF SPECIES OF ORIGIN |
Species of Origin Confirmed by LINE assay |
| |
| Gene |
SNRPN |
| Chromosomal Location |
15q12 |
| Allelic Variant 1 |
; PRADER-WILLI SYNDROME |
| Identified Mutation |
DEL MATERNAL EXON ALPHA |
| Remarks |
Clinically affected with maternal uniparental disomy associated Prader-Willi Syndrome; born premature (25 weeks); onset of symptoms at birth; prominent occiput; bitemporal narrowing; prognathia; epicanthal folds; pectus excavatum; short 4th metacarpal and 5th finger; 5th finger clinodactyly; unable to flex fingers; flat feet; mild scoliosis; mild hypertonia; dry, sticky saliva; small VSD heart murmur; diabetes mellitus type 1; nutritional status: phase 1B; at 7 years of age has precocious puberty, tanner stage 3 with pubic hair, facial acne and body odor; global developmental delay; behavioral problems (tantrums, aggression); compulsive behavior (ordering/arranging objects); no food-seeking behavior (will push food away if occupied);not overweight; regurgitation/vomiting after food intake (possible dairy allergy); surgeries include: tonsillectomy and dental surgery; medications include: Nutropin (started at 4 months old), Novolin, NovoLog, Lantus. |
| Tang Z, Berlin DS, Toji L, Toruner GA, Beiswanger C, Kulkarni S, Martin CL, Emanuel BS, Christman M, Gerry NP, A dynamic database of microarray-characterized cell lines with various cytogenetic and genomic backgrounds G3 (Bethesda, Md)3:1143-9 2013 |
| PubMed ID: 23665875 |
| Split Ratio |
1:5 |
| Temperature |
37 C |
| Percent CO2 |
5% |
| Percent O2 |
AMBIENT |
| Medium |
Roswell Park Memorial Institute Medium 1640 with 2mM L-glutamine or equivalent |
| Serum |
15% fetal bovine serum Not Inactivated |
| Substrate |
None specified |
| Subcultivation Method |
dilution - add fresh medium |
| Supplement |
- |
|
|