GM23007
LCL from B-Lymphocyte
Description:
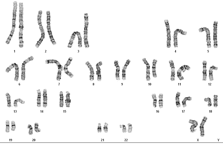
CHROMOSOME 1P36 DELETION SYNDROME
|
Repository
|
NIGMS Human Genetic Cell Repository
|
| Subcollection |
Chromosome Abnormalities |
|
Biopsy Source
|
Peripheral vein
|
|
Cell Type
|
B-Lymphocyte
|
|
Tissue Type
|
Blood
|
|
Transformant
|
Epstein-Barr Virus
|
|
Sample Source
|
LCL from B-Lymphocyte
|
|
Relation to Proband
|
proband
|
|
Confirmation
|
Karyotypic analysis after cell line submission to CCR
|
|
ISCN
|
46,XX,del(1)(p36.3).arr[hg19]1p36.33p36.23(625457-9056495)x1
|
|
Species
|
Homo sapiens
|
|
Common Name
|
Human
|
| IDENTIFICATION OF SPECIES OF ORIGIN |
Species of Origin Confirmed by LINE assay |
| |
| Cytogenetics |
Chromosome 1: DELETION Aneuploid Segment (-).ish del(1)(:p36.33->qter) |
| Bellair M, Amaral E, Ouren M, Roark C, Kim J, O'Connor A, Soriano A, Schindler ML, Wapner RJ, Stone JL, Tavella N, Merriam A, Perley L, Breman AM, Beaudet AL, Noninvasive single-cell-based prenatal genetic testing: A proof of concept clinical study Prenatal diagnosis44:304-316 2024 |
| PubMed ID: 38411249 |
| |
| Gajecka M, Mackay KL, Shaffer LG, Monosomy 1p36 deletion syndrome American journal of medical genetics Part C, Seminars in medical genetics145C:346-56 2007 |
| PubMed ID: 17918734 |
| View |
FISH Texas Red detects SKI,FITC detects CEB108/T7,D1S3739, DAPI counterstain |
|
karyotype Texas Red detects SKI,FITC detects CEB108/T7,D1S3739, DAPI counterstain |
| Split Ratio |
1:6 |
| Temperature |
37 C |
| Percent CO2 |
5% |
| Percent O2 |
AMBIENT |
| Medium |
Roswell Park Memorial Institute Medium 1640 with 2mM L-glutamine or equivalent |
| Serum |
15% fetal bovine serum Not Inactivated |
| Substrate |
None specified |
| Subcultivation Method |
dilution - add fresh medium |
| Supplement |
- |
|
|