GM22948
LCL from B-Lymphocyte
Description:
CHROMOSOME 1P36 DELETION SYNDROME
|
Repository
|
NIGMS Human Genetic Cell Repository
|
| Subcollection |
Chromosome Abnormalities |
|
Biopsy Source
|
Peripheral vein
|
|
Cell Type
|
B-Lymphocyte
|
|
Tissue Type
|
Blood
|
|
Transformant
|
Epstein-Barr Virus
|
|
Sample Source
|
LCL from B-Lymphocyte
|
|
Country of Origin
|
USA
|
|
Relation to Proband
|
proband
|
|
Confirmation
|
Karyotypic analysis after cell line submission to CCR
|
|
ISCN
|
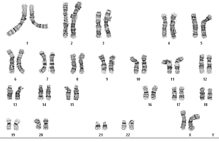
46,XX,del(1)(p36.3). arr[hg19]
1p36.33p36.22(86311-
9628004)x1
|
|
Species
|
Homo sapiens
|
|
Common Name
|
Human
|
|
Remarks
|
|
| IDENTIFICATION OF SPECIES OF ORIGIN |
Species of Origin Confirmed by LINE assay |
| |
| Demographic Data |
| Relation to Proband |
proband |
| Sex |
Female |
| Country |
USA |
| |
| Data Elements |
| Clinical Element Type: 1p36 Deletion Syndrome |
| (Baseline) |
| Inheritance |
| De novo |
Unknown |
| If no, give parental origin |
Unknown |
| Rearrangement |
Terminal |
| Deletion Size in Mb |
9.4 |
| Dysmorphic Features |
| Large anterior fontanelle |
Yes |
| Microcephaly |
No |
| Brachycephaly |
No |
| Low hairline |
No |
| Small ears |
No |
| Low-set ears |
No |
| Ear asymmetry |
No |
| Thickened ear helices |
No |
| Synophrys |
No |
| Deep-set eyes |
No |
| Hypertelorism |
No |
| Small palpebral fissures |
No |
| Upslanting palpebral fissures |
No |
| Downslanting palepebral fissures |
No |
| Midface hypoplasia |
Yes |
| Flat nasal bridge |
Yes |
| Pointed chin |
Yes |
| Clinodactyly |
No |
| Neurological |
| Mental retardation |
No |
| Developmental delay |
Yes |
| Speech delay |
Yes |
| Seizures |
No |
| Epileptic encephalopathy |
No |
| Hypotonia |
Yes |
| Feeding difficulties |
Yes |
| Oropharyngeal dysphasia |
No |
| Self-abusive behavior |
No |
| Cardiovascular |
| Cardiomyopathy |
No |
| Structural congenital heart defects |
No |
| Patent foramen ovale |
No |
| Patent ductus arteriosus |
No |
| Ventricular septal defects |
No |
| Atrial septal defect |
No |
| Ebstein anomaly |
No |
| Bicommisural aortic valve |
No |
| Ophthalmologic and Audiologic |
| Hypermetropia (farsightedness) |
No |
| Myopia |
Yes |
| Strabismus |
Yes |
| Visual inattentiveness |
Yes |
| Hearing problems |
Yes |
| Conductive hearing loss |
No |
| Sensorineural hearing loss |
Yes |
| Gastrointestinal |
| Constipation |
No |
| Reflux |
Yes |
| Ulcer |
No |
| Hiatal hernia |
No |
| Discomfort |
Yes |
| Endocrine |
| Thryroid function studies |
Unknown |
| Pubertal changes |
Unknown |
| MRI Abnormalities |
| Polymicrogyria |
No |
| Leukoencephalopathy |
No |
| Generalized atrophy |
No |
| Prominent ventricles |
Yes |
| Remarks |
Clinically affected; large anterior fontanelle; midface hypoplasia; flat nasal bridge; pointed chin; developmental delay; speech delay; hypotonia; feeding difficulties; mild myopia; mild strabismus; visual inattentiveness; hearing problems (bilateral sensorineural hearing loss); gastroesophageal reflux with fundoplication and g tube; premature thelarchy; subglottic cyst removed from airway; closed sacral dimple; 9.4 MB deletion of chromosome 1p36 (476D13 deleted, apparently simple terminal truncation). |
| Uchiyama S, Fukushima K, Katagiri S, Tsuchiya J, Kubo T, Chi S, Minami Y, Advancements in minimal residual disease detection: a practical approach using single-cell droplet PCR for comprehensive monitoring in hematological malignancy Therapeutic advances in hematology15:20406207241245510 2024 |
| PubMed ID: 38628436 |
| |
| Gajecka M, Mackay KL, Shaffer LG, Monosomy 1p36 deletion syndrome American journal of medical genetics Part C, Seminars in medical genetics145C:346-56 2007 |
| PubMed ID: 17918734 |
| View |
FISH Texas Red detects SKI, FITC detects D1S3739,DAPI counterstain |
|
FISH Texas Red detects SKI, FITC detects D1S3739,DAPI counterstain |
|
FISH Spectrum Green detects CEB108/T7, DAPI counterstain |
|
FISH Spectrum Green detects CEB108/T7, DAPI counterstain |
|
karyotype Spectrum Green detects CEB108/T7, DAPI counterstain |
| Split Ratio |
1:4 |
| Temperature |
37 C |
| Percent CO2 |
5% |
| Percent O2 |
AMBIENT |
| Medium |
Roswell Park Memorial Institute Medium 1640 with 2mM L-glutamine or equivalent |
| Serum |
15% fetal bovine serum Not Inactivated |
| Substrate |
None specified |
| Subcultivation Method |
dilution - add fresh medium |
| Supplement |
- |
|
|