GM00893
LCL from B-Lymphocyte
Description:
APPARENTLY HEALTHY INDIVIDUAL
|
Repository
|
NIGMS Human Genetic Cell Repository
|
| Subcollection |
Apparently Healthy Collection |
| Alternate IDs |
GM17208 [APPARENTLY HEALTHY INDIVIDUAL] |
|
Biopsy Source
|
Peripheral vein
|
|
Cell Type
|
B-Lymphocyte
|
|
Tissue Type
|
Blood
|
|
Transformant
|
Epstein-Barr Virus
|
|
Sample Source
|
LCL from B-Lymphocyte
|
|
Race
|
White
|
|
Family Member
|
1
|
|
Relation to Proband
|
proband
|
|
Confirmation
|
Karyotypic analysis and Case history
|
|
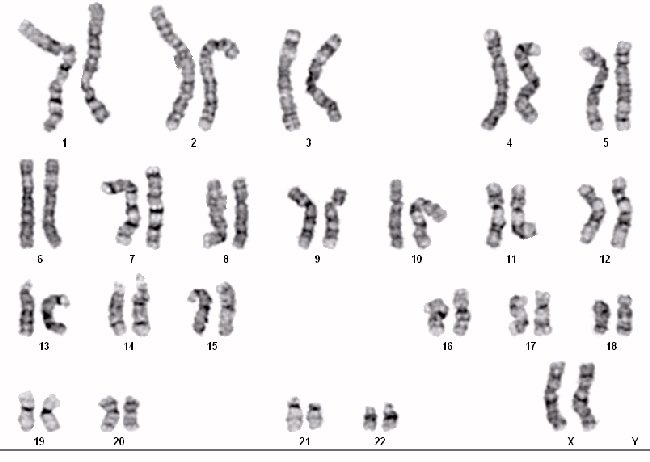
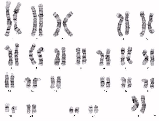
ISCN
|
46,XX
|
|
Species
|
Homo sapiens
|
|
Common Name
|
Human
|
|
Remarks
|
|
| IDENTIFICATION OF SPECIES OF ORIGIN |
Species of Origin Confirmed by Chromosome Analysis |
| |
| Remarks |
Same patient as GM00894; 46,XX, 24% of cells show random chromosome loss of 1 chromosome and 4% show random gain of 1 chromosome |
| Dziadkowiec KN, Gasiorowska E, Nowak-Markwitz E, Jankowska A, PARP inhibitors: review of mechanisms of action and BRCA1/2 mutation targeting Przeglad menopauzalny = Menopause review15:215-219 2016 |
| PubMed ID: 28250726 |
| |
| Atwal GS, Bond GL, Metsuyanim S, Papa M, Friedman E, Distelman-Menachem T, Ben Asher E, Lancet D, Ross DA, Sninsky J, White TJ, Levine AJ, Yarden R, Haplotype structure and selection of the MDM2 oncogene in humans Proceedings of the National Academy of Sciences of the United States of America104:4524-9 2007 |
| PubMed ID: 17360557 |
| |
| Gong Y, Beitelshees AL, Wessel J, Langaee TY, Schork NJ, Johnson JA, Single nucleotide polymorphism discovery and haplotype analysis of Ca2+-dependent K+ channel beta-1 subunit Pharmacogenetics and genomics17:267-75 2007 |
| PubMed ID: 17496725 |
| |
| Malmlöf M, Pääjärvi G, Högberg J, Stenius U, Mdm2 as a sensitive and mechanistically informative marker for genotoxicity induced by benzo[a]pyrene and dibenzo[a,l]pyrene Toxicological sciences : an official journal of the Society of Toxicology102:232-40 2007 |
| PubMed ID: 18096571 |
| |
| Harris SL, Gil G, Robins H, Hu W, Hirshfield K, Bond E, Bond G, Levine AJ, Detection of functional single-nucleotide polymorphisms that affect apoptosis Proceedings of the National Academy of Sciences of the United States of America102:16297-302 2005 |
| PubMed ID: 16260726 |
| |
| Sotamaa K, Liyanarachchi S, Mecklin JP, Järvinen H, Aaltonen LA, Peltomäki P, de la Chapelle A, p53 codon 72 and MDM2 SNP309 polymorphisms and age of colorectal cancer onset in Lynch syndrome Clinical cancer research : an official journal of the American Association for Cancer Research11:6840-4 2005 |
| PubMed ID: 16203772 |
| Split Ratio |
1:4 |
| Temperature |
37 C |
| Percent CO2 |
5% |
| Medium |
Roswell Park Memorial Institute Medium 1640 with 2mM L-glutamine or equivalent |
| Serum |
15% fetal bovine serum Not Inactivated |
| Substrate |
None specified |
| Subcultivation Method |
dilution - add fresh medium |
| Supplement |
- |
|
|